美丽是一条漫长的路,我们一起加油!
基本信息:韩同学,18岁,在校学生,通过网络预约就诊
患者主述:牙齿排列还算整齐,但存在上牙前突的现象,经常被同学调侃是“暴牙妹”,内心深感自卑,想通过钢丝正畸的办法,把前突的牙齿恢复到正常的位置,改善颜面侧貌,摆脱牙齿难看的苦恼。
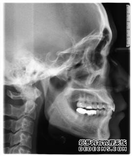
临床诊断:通过3D数字化全景机的检查,患者的上牙前突属于牙性,双唇闭合时可见明显隆起,X片显示根尖无异常,上下后牙存在间隙,可通过美国MBT直弓丝正畸技术将其矫正复位,并收拢间隙,矫正所需时间一年半左右。
矫正前正面照

矫正前侧面照

全景机侧位片

全景机正位片
矫正前(可见明显牙缝)

矫正中
矫正中
矫正中(上下排牙齿的牙缝已收完)

保持器阶段

矫正后正面照

矫正后侧面照
